ВСЕ НОВОСТИ
-
23:13 Мир
Литовская учительница заразила 77 детей туберкулезом
-
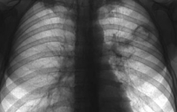
15:00 Киев
На Киевщине у учителя обнаружили открытую форму туберкулеза
У учителя был диагностирован туберкулез легких открытой формы
-
10:45 Здоровье
Чем угрожает Россия и Беларусь Европе?
Значительный вклад в статистику вносят мигранты из бывших союзных республик
-
12:45 Здоровье
Участники евромайдана рискуют «подцепить» серьезные болезни, — Шлапак
-
19:20 Здоровье
Киевские клиники готовы принять митингующих для обследования на туберкулез
-
13:00 Здоровье
Медики просят граждан, контактировавших с умершим от туберулеза, обратиться к врачам
-
00:10 Здоровье
Медики призвали демонстрантов к бдительности
-
12:40 Происшествия
У умершего возле Майдана мужчины был туберкулез легких
-
12:10 Здоровье
Минздрав бъет тревогу: на майдане можно заразиться опасными болезнями
-
19:50 Общество
Минздрав бъет тревогу: умерший на майдане болел туберкулезом
-
18:55 Происшествия
Мужчина возле Майдана умер от туберкулеза, - МВД
-
15:00 Здоровье
В Украине свирепствует эпидемия туберкулеза, - Медведчук
-
22:00 Здоровье
Туберкулез зародился в Африке, - исследователи
Болезнь могла «мигрировать» в другие части мира вместе с древними переселенцами
-
13:18 Общество
Наркомания и туберкулез в Украине приобрели масштабы эпидемии, - нардеп
Москаль считает, что наркомания распространяется из-за тотальной коррупции в органах
-
14:18 Здоровье
Туберкулез появился в Африке 70 тысяч лет назад, - ученые
Анализ истории возбудителя туберкулеза поможет предсказать будущие направления его развития




