Мужчина возле Майдана умер от туберкулеза, - МВД
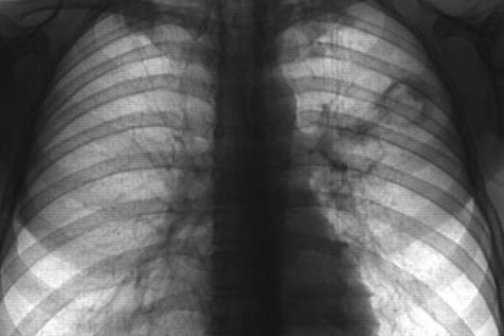
Судебно-медицинская экспертиза установила, что мужчина, тело которого было найдено возле Майдана Независимости в Киеве, скончался от туберкулеза легких. Об этом сообщили в пресс-службе киевской милиции.
«Закончилась судмедэкспертиза. По заключению медиков, это был туберкулез легких, который вызвал внутреннее кровотечение», - рассказали в пресс-службе ведомства.
Вместе с тем, в пресс-службе прокуратуры Киева уточнили, что предварительная причина смерти – туберкулез легких открытой формы.
Также в прокуратуре отметили, что судебно-медицинская экспертиза еще продолжается.
Напомним, в пятницу утром в столичную милицию поступило сообщение о том, что в районе смотровой площадки возле гостиницы «Украина» в центре Киева было обнаружено тело мужчины.
Прибывшие медики констатировали смерть мужчины, без видимых признаков насильственной смерти. Первичный осмотр показал отсутствие каких-либо повреждений, в том числе травм головы. По показаниям свидетелей, отметили в милиции, у мужчины сначала пошла кровь изо рта. Примерный возраст умершего 50-55 лет.
Тело мужчины было направлено на судебно-медицинскую экспертизу.





Спорт «Світовий рекорд зі стрибків з жердиною: Шведський атлет Дюплантіс подолав планку на висоті 6,31 м»
Здоровье «Шорт-лист продуктов, которые могут вызвать мигрень»
Политика «Трамп наголосив, що "останньою людиною, від якої потрібна допомога, є Зеленський"»
Политика «Зміна пріоритетів Вашингтону, Трамп втрачає інтерес до переговорів щодо України, – FT»
Спорт «Гран-прі "Формули-1": Квітневі етапи у Бахрейні та Саудівській Аравії скасовані»
Политика «Зеленський про "Дружбу": "Чим це відрізняється від зняття санкцій з РФ?"»