Чем угрожает Россия и Беларусь Европе?
Значительный вклад в статистику вносят мигранты из бывших союзных республик
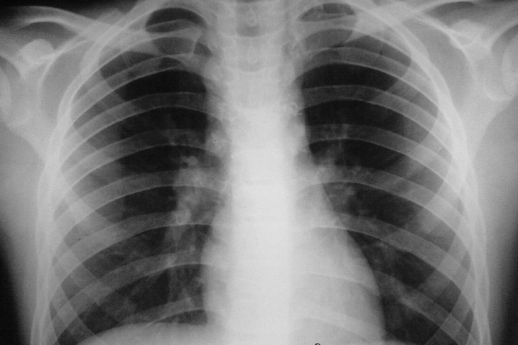
Всемирная организация здравоохранения (ВОЗ) выступила с официальным предупреждением относительно зашкаливающего числа больных туберкулезом в России и Республике Беларусь. По мнению международных экспертов, это угрожает всей Западной Европе. Значительный вклад в статистику вносят мигранты из бывших союзных республик. Именно они могу завезти инфекцию.
К счастью, Россия и Беларусь не стоят на первом месте в рейтинге стран с туберкулезом. Самая критическая ситуация зафиксирована в Китае, Индии и Южной Африке. По общим подсчетам, пишет The Moscow Times, в 2012 году туберкулез развился у 8,6 миллиона человек. 1,3 миллиона скончались. 450000 случаев связаны с особо стойким штаммом туберкулеза. К 2015 году до 2 миллионов человек могут столкнуться с резистентным туберкулезом.
ВОЗ призывает уменьшить уровень инфицированности. Так, к 2035 году желательно сократить количество новых зараженных до уровня менее 10 новых случаев туберкулеза на миллион человек в год. А к 2050 году эксперты хотят вообще избавиться от инфекции. Предложенная стратегия касается 33 стран. 21 страна находится в Европе. И здесь уже снижены показатели инфекции. Основными жертвами туберкулеза становятся мигранты, малообеспеченные, заключенные, наркоманы, алкоголики, ВИЧ-инфицированные, лица без определенного места жительства. У них туберкулез может развиваться в скрытой форме годами.





Политика «Зеленский продлил военное положение и мобилизацию: новая дата»
Мир «Чеській прем'єр оргінально помстився своєму президенту за рахунок України, - ЗМІ»
Политика «Команда Олексія Юренка підтримала Юлію Тимошенко під час засідання Апеляційної палати ВАКС»
Мир «ООН викрила факти викрадення пацієнтів та вимагання коштів силовиками Ірану»
Политика «11 стран ЕС предлагают смягчить правила закупки вооружения Украиной»
Происшествия «У Вінниці поліцейські довели чоловіка до клінічної смерті»