20:03 / 20.11.2018
Здоровье
Украинские врачи показывают высокий профессионализм в спасении тяжёлых больных
Появилась надежда на спасение бойца.
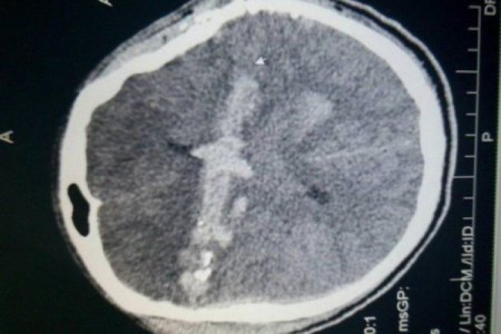
В больницу Мечникова в Днепре доставили 3 тяжелораненых бойцов.
2 из бойцов получили тяжелые черепно-мозговые ранения, пишет главный врач областной клинической больницы имени Мечникова Сергей Рыженко в Facebook.
"Иван, 26 лет, из Закарпатской области Виноградовского района получил ранения возле поселка Новотроицкое. Пуля вошла в правую лобную область и вышла в височную слева. Кома. Искусственная вентиляция легких. Военные доставили прямо в реанимационный зал больницы Мечникова. Тяжелая нейрохирургическая операция с удалением мозгового детрита, костных обломков. Утром у Ивана появилось движение в конечностях. Появилась надежда на его спасение", - пишет Рыженко.





Происшествия «ЄС додав Росію до чорного списку країн з високим ризиком відмивання грошей і фінансування тероризму»
Происшествия «"Квартал 95" створив нову компанію без Міндіча, щоб уникнути санкцій»
Экономика «Україна розпочала реструктуризацію прив'язаних до ВВП боргів, - FT»
Общество «З 1 січня 2026 року зростуть виплати родинам загиблих захисників»
Происшествия «До 15 років ув’язнення засуджено агентку РФ, яка допомагала росіянам наступати на Покровськ»
Происшествия «Спротив триває: 1380-та доба протистояння України збройної агресії Росії»