Рентген бесполезен при выявлении рака легких
Аппарат «не видит» рак на ранних стадиях
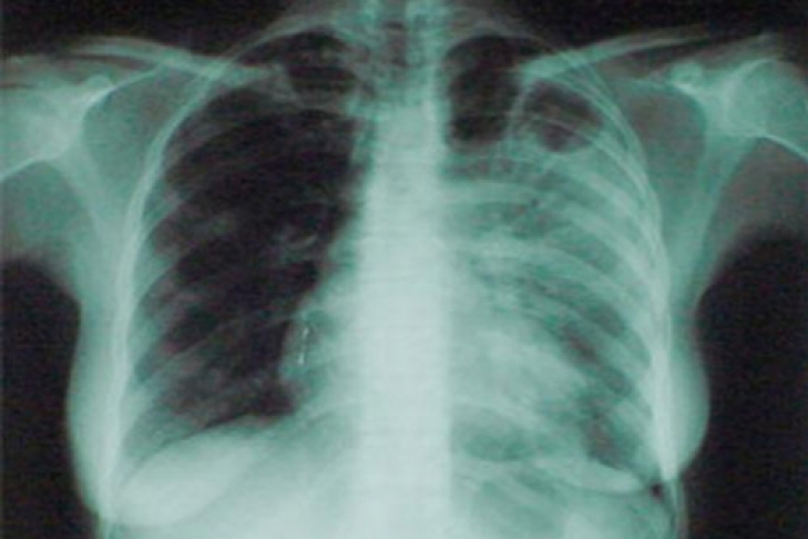
Обычный рентген не способен выявить рак легких на ранних стадиях, - выяснили американские ученые. Как эффективную альтернативу они предлагают использовать компьютерную томографию легких для диагностики возможного заболевания.
Долгосрочный эксперимент показал, что благодаря использованию компьютерного томографа удалось снизить смертность от рака легких на 20%, по сравнению с теми данными, которые показывала классическая радиография.
Стоит отметить, что в эксперименте принимали участие люди в возрасте 55-74 года, которые регулярно курили от 30 пачек сигарет в год. Часть из них скончалась от рака легких.
Напомним, ранее «Багнет» писал, если мучает изжога следует бежать к онкологу, а уберечься от рака помогут овощи.
Источник: ZMAN.com





Политика «Мирний план України та союзників передбачає вихід росіян із трьох областей, - Зеленський»
Происшествия «В Ізраїлі на Міндіча було здійснено спробу вбивства, – Коломойський»
Политика «Трамп намагався організувати тотальний тиск на Зеленського, – WSJ»
Происшествия «Спротив триває: 1387-ма доба протистояння України збройної агресії Росії»
Общество «Справа про переслідування адвоката Дениса Федоркіна українськими правоохоронцями отримала нове життя після втручання іспанського суду»
Политика «Переговоры о вступлении Украины в ЕС должны завершиться в 2028 году»